Loading...
CG LAB s.n.c. - Odontotecnica di Ceccarelli e Giuliani
+39 071 60395
info@cglab.it
Home
I Soci
Marco Ceccarelli
Federico Giuliani
Il Laboratorio
Lavorazioni
Ceramica
Disilicato
Impianti
Zirconia
Dove Siamo
Home
I Soci
Marco Ceccarelli
Federico Giuliani
Il Laboratorio
Lavorazioni
Ceramica
Disilicato
Impianti
Zirconia
Dove Siamo
Lavorazioni
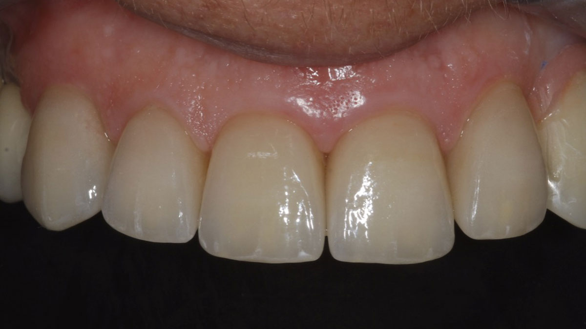
Disilicato
Caso #1
Caso #2 - Serf
Caso #3 - Terry